| 艺卓显示器代理 24H电话微信13751863259 | ||||||||||||||||||||
| 华南代理 | ||||||||||||||||||||
艺卓显示器代理,德国工厂出品 全国各地均可快递上门 |
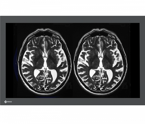
CuratOR LX3240-MR 32 英寸显示器,具有 4K 超高清分辨率,用于磁共振成像 (MRI) |
适合磁共振室内,屏蔽磁场 对磁场的影响最小 亮度稳定系统h 灰阶彩色图像自动匹配 |


监视器 - LX3240-MR-兼容性
核磁共振兼容性 LX3240-MR 使用特殊材料制造,以最大限度地减少对磁场和谐振器的影响。此外,该监视器可抵御高达 100 mT 的强磁场环境,使其可以放置在 MRI 扫描仪附近。

显示器 - LX3240-MR - 图片再现 完美的画面再现
所使用的 TFT 面板可实现无失真的图像几何形状、非常大的视角和高亮度。该显示器即使在低刷新率下也能提供无闪烁的画面,以满足最严格的人体工程学要求。
.png)
监视器 - LX3240-MR - 稳定性
全自动稳定性 LX3240-MR 的全自动亮度稳定性可根据医疗标准(例如 DICOM 或 Gamma 2.2)保持亮度恒定。显示器还配备了内部背光传感器,可确保亮度保持一致。
.png)
显示器 - LX3240-MR - 连接选项
灵活的连接选项 LX3240-MR 具有灵活的选项来连接和显示视频源,例如 4K UHD (3840 x 2160) 和 Full HD (1920 x 1080): • DisplayPort 1.2 输入 • DisplayPort 1.1 输入(将全高清升级到 UHD) • 两个 HDMI支持 DVI 信号的连接器(将全高清升级到超高清)
.png)
监视器 - LX3240-MR - 预设 五种面向实践的预设模式
LX3240-MR 在出厂时已校准,共有五种面向实践的预设模式可用。该校准数据使显示器能够轻松适应各自的应用和当地照明条件。 此外,还可以考虑现场服务人员的特殊应用要求,例如颜色调整或适应环境亮度。 所有预设都是颜色匹配的,因此所有灰度级别的每个单元之间的颜色印象保持一致。
.png)
显示器 - LX3240-MR - 无图像延迟
以最小的图像延迟安全地工作 图像实时显示在屏幕上,使外科医生可以直接在显示器上看到所有过程,没有延迟。
.jpg)
监视器 - LX3240-MR - 传感器
即时查看 内置背光传感器确保系统启动时屏幕亮度快速稳定,使显示器上的图像在短时间内可用。
.png)
显示器 - LX3240-MR - VESA 安装在 VESA 支架上 符合 VESA 标准可以连接到现有的安装附件,如天花板悬挂。
.png)
符合医疗标准,请放心使用 该款监视器符合最严格的医疗、安全和电磁辐射标准。


艺卓显示器代理:广州巴花电子产品有限公司
地址:广州市天河区天河路596号3006房,24H电话、微信:13751863259